Услуги
Терапевтическая стоматология
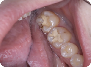
При незначительных поражениях зубов восстановление формы, цвета и функции достигается за счет использования
современных реставрационных материалов, методом прямого пломбирования. Эта методика успешно применяется
в нашей клинике как для жевательных так и для передних зубов, позволяя исправить незначительные несовершенства.

При возникновении воспалительных процессов внутри зуба и окружающих его тканей, зачастую требуется
проведение эндодонтического лечения. Для этого в нашей клинике применяется современные никель-титановые
инструменты и машинный метод, что, в отличие от классической ручной обработки корневых каналов, позволяет
добиваться высокого качества подготовки их для последующего пломбирования. Такой современный подход позволяет
снизить вероятность возникновения повторных воспалительных процессов.